Open 7-Days a Week, Appointments 727-738-2273   --   Site Map

Dunedin Animal Medical Center is the only AAHA Accredited Animal Hospital in the Dunedin, Palm Harbor, Countryside, Ozona, and Safety Harbor area.  What does AAHA Accreditation mean to you and your pet.  AAHA Click Here

 

Pet Dental Care


Dental Care For Your Pet

Three Steps to Success Your pet needs dental care - regular, professional care from your veterinarian at Dunedin Animal Medical Center, as well as care at home from you. The American Veterinary Dental Society recommends that pet owners follow three basic steps:

STEP 1: Take your pet to Dunedin Animal Medical Center for a dental exam. Don’t wait for his annual checkup if you suspect a problem.

STEP 2: Begin a dental care regimen at home. Our Veterinarians will examine your pets' mouth and make medically necessary recommendations to keep your pet healthy and happy. One of the most convenient and effective ways to combat oral disease is feeding specially formulated foods proven effective in combating plaque and tarter buildup. 

For information on the Veterinary Oral Health Council (VOHC) and how specially formulated pet foods can help your pet, visit www.vohc.org.

STEP 3: Schedule regular veterinary checkups. These are essential in helping your veterinarian at Dunedin Animal Medical Center monitor the progress of your pet's dental health routine. Our veterinary health care team can help you schedule the appropriate visits.  

Schedule Your DENTAL-CARE Appointment Today 727-738-2273


Dog and Cat Teeth Cleaning

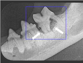
At Dunedin Animal Medical Center Dental X-Rays are included every-time your pets' teeth are cleaned. Unlike humans that can say "Doc it hurts over here" our pets can not verbalize their pain.  It is up to their Pet Parents and Veterinarians to locate any discomfort and correct it.  Most Dental Disease occurs below the gumline and Dental X-rays are essential in its diagnosis.

The bone-loss (white arrows) on these Dental X-rays may never have been found if Dental X-Rays had not been taken.



Dog and Cat Normal Dental X-Rays

X-Rays on Left -- Tooth supporting bone is normal in appearance

Dog and Cat Abnormal Dental X-rays

X-Rays on Right -- Tooth supporting bone has eroded away from tooth root (white arrows).  Tooth must be removed